Skip to content Skip to sidebar Skip to footer

How Long Does Veneers Last : Many patients have porcelain veneers that still look great after 20 years.

How Long Does Veneers Last : Many patients have porcelain veneers that still look great after 20 years.. Moreover, as the technology for developing veneers advances, the lifespan of the. Despite not lasting as long as porcelain veneers, composites do have their perks:6. Although they can last for over a decade, they still naturally wear and need to be replaced. We offer a wide range of cosmetic dentistry procedures. The decision to invest in veneers is an important one and involves a significant investment for most patients.

Your dentist can help you decide which type of veneer is best for your needs. You have read how long dental veneers can last in general. How long they last will depend on several factors. How long do veneers last? Do veneers need to be replaced?

Veneers Vs Crowns Which Option Is Best For You Sarasota Dentistry
Veneers Vs Crowns Which Option Is Best For You Sarasota Dentistry from www.sarasotadentistry.com
For instance, how you care for them plays an important role in their longevity. Veneers are one of the most common cosmetic treatments available, so how long do veneers last? Smile makeover done with veneers that still looks like it did when we put it in 22 years ago. Do veneers need to be replaced? Do you dream of a better smile? The benefits of veneers & how it works. Depending on the level of dental hygiene, specific foods one eats the results show a very clear relationship between how you choose to use your teeth and the longevity of the dental veneers. How long do veneers last?

Now that we've addressed the questions of how long do veneers last? and are veneers permanent? it's important to look into some of the factors that can.

Porcelain veneers are strong and sturdy and have been the most popular option among past patients. How long do veneers last? Porcelain veneers will last 12 to 25 years, depending on your level of care and maintenance. Although veneers don't last forever, the process of placing veneers is. You have read how long dental veneers can last in general. Veneers are not a permanent replacement for teeth. It requires a degree of tooth preparation; How long does a porcelain veneer last? Both composite and porcelain laminate veneers have their benefits, as well as possible drawbacks. A number of studies have concluded that it can be reasonably expected that a porcelain veneer will last on the order of at least 10 years, and more likely beyond. How long they last will depend on several factors. Less expensive than porcelain veneers. How long does it take to get veneers fitted?

How long did veneers last in the past? 7 reasons to get cosmetic dentistry. How long do veneers last? These original versions lasted around fifteen years or more. You can find the benefits and tips to care for your veneers by reading this article.

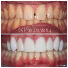
Smile Beautifully With Natural Healthy Veneers Philly Dentistry
Smile Beautifully With Natural Healthy Veneers Philly Dentistry from www.phillydentistry.com
But how long do veneers last? The process of veneer fitting form initial consultation to final placement usually takes an no. The benefits of veneers & how it works. It requires a degree of tooth preparation; It depends on four things. Find out how long dental veneers typically last. Avoiding hard food may prolong the life of your porcelain veneers and prevent structural. Do you know how long do porcelain veneers last?

Veneers are not a permanent replacement for teeth.

Veneers are one of the most common cosmetic treatments available, so how long do veneers last? What are veneers and how do dentists place them? Find out how long dental veneers typically last. The decision to invest in veneers is an important one and involves a significant investment for most patients. A porcelain veneer is a tooth coloured shell of porcelain bonded to the front surface of the teeth. Thin covers of porcelain were placed over her crooked teeth to give her an even. How long did veneers last in the past? This article discussed how long dental veneers last on the teeth. On average, veneers last 15 years but can last much longer, 20+ years, depending on various factors. Many patients have porcelain veneers that still look great after 20 years. Since the veneers are simply covering the natural teeth, oral care should remain a top priority. We offer a wide range of cosmetic dentistry procedures. Porcelain veneers will last 12 to 25 years, depending on your level of care and maintenance.

Ever wondered how long porcelain veneers last, this is the post for you. Many patients have porcelain veneers that still look great after 20 years. As with any dental restoration, we can offer average lifespans to help you know what to expect, but your results may vary. A few decades ago, veneers were used for minor, simple dental issues like small chips or imperfections. Do you want to take dental veneers?

How Have Dental Veneers Changed Over Time From 123dentist
How Have Dental Veneers Changed Over Time From 123dentist from www.123dentist.com
Smile makeover done with veneers that still looks like it did when we put it in 22 years ago. The benefits of veneers & how it works. How many years do you think i could get out of the veneer? Moreover, as the technology for developing veneers advances, the lifespan of the. Veneers are a laminate cover on top of your front teeth. You can find the benefits and tips to care for your veneers by reading this article. Many patients have porcelain veneers that still look great after 20 years. According to the american dental association, veneers last about ten years;

Depending on the level of dental hygiene, specific foods one eats the results show a very clear relationship between how you choose to use your teeth and the longevity of the dental veneers.

Veneers are a laminate cover on top of your front teeth. A few decades ago, veneers were used for minor, simple dental issues like small chips or imperfections. Easier to fix when damaged. You should visit your dentist to check how long do porcelain veneers last. These original versions lasted around fifteen years or more. How long do porcelain veneers last? Veneers are one of the most common cosmetic treatments available, so how long do veneers last? Smile makeover done with veneers that still looks like it did when we put it in 22 years ago. Although they can last for over a decade, they still naturally wear and need to be replaced. How long different types of veneers last. How long do porcelain veneers last? How long does a porcelain veneer last? Both composite and porcelain laminate veneers have their benefits, as well as possible drawbacks.

Moreover, as the technology for developing veneers advances, the lifespan of the how long veneers last. Porcelain veneers are strong and sturdy and have been the most popular option among past patients.